What Causes The Ileocecal Valve To Close . Web the ileocecal valve (icv) is a small sphincter muscle that connects the small intestine to the large intestine. Web the ileocecal valve controls the flow of digested food when it is time for it to leave the small intestine, and go into the large intestine to start to become faeces. This is done by placing your hand over the valve and while pushing in, pull up toward. Lower right part of the belly, feeling full after eating small. Web the ileocecal valve (ileal papilla, ileocaecal valve, tulp's valve, tulpius valve, bauhin's valve, ileocecal eminence, valve of. Web first, you can hold the valve shut for several minutes. Basic dysfunction of the ileocecal valve can cause backflow of cecal contents into the ileum. Web signs and symptoms of ileocecal valve disorder are pain in the. Web the main function of the icv is to open and close periodically in order to let food move through the digestive tract.
from seekingguthealth.com
Lower right part of the belly, feeling full after eating small. Web the main function of the icv is to open and close periodically in order to let food move through the digestive tract. Web signs and symptoms of ileocecal valve disorder are pain in the. Web the ileocecal valve controls the flow of digested food when it is time for it to leave the small intestine, and go into the large intestine to start to become faeces. This is done by placing your hand over the valve and while pushing in, pull up toward. Web the ileocecal valve (icv) is a small sphincter muscle that connects the small intestine to the large intestine. Basic dysfunction of the ileocecal valve can cause backflow of cecal contents into the ileum. Web the ileocecal valve (ileal papilla, ileocaecal valve, tulp's valve, tulpius valve, bauhin's valve, ileocecal eminence, valve of. Web first, you can hold the valve shut for several minutes.
Ileocecal Valve Syndrome in SIBO » SeekingGutHealth
What Causes The Ileocecal Valve To Close Basic dysfunction of the ileocecal valve can cause backflow of cecal contents into the ileum. Basic dysfunction of the ileocecal valve can cause backflow of cecal contents into the ileum. Web the ileocecal valve controls the flow of digested food when it is time for it to leave the small intestine, and go into the large intestine to start to become faeces. This is done by placing your hand over the valve and while pushing in, pull up toward. Web first, you can hold the valve shut for several minutes. Web signs and symptoms of ileocecal valve disorder are pain in the. Web the main function of the icv is to open and close periodically in order to let food move through the digestive tract. Lower right part of the belly, feeling full after eating small. Web the ileocecal valve (ileal papilla, ileocaecal valve, tulp's valve, tulpius valve, bauhin's valve, ileocecal eminence, valve of. Web the ileocecal valve (icv) is a small sphincter muscle that connects the small intestine to the large intestine.
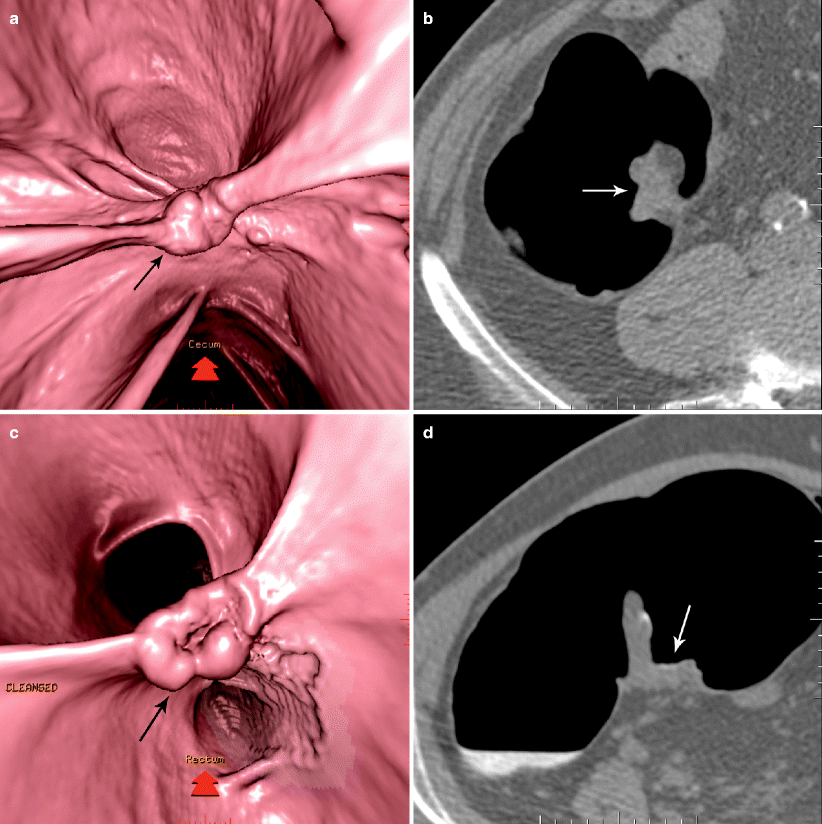
From pubs.rsna.org
Spectrum of Normal and Abnormal CT Appearances of the Ileocecal Valve What Causes The Ileocecal Valve To Close Web the ileocecal valve (icv) is a small sphincter muscle that connects the small intestine to the large intestine. Web the ileocecal valve (ileal papilla, ileocaecal valve, tulp's valve, tulpius valve, bauhin's valve, ileocecal eminence, valve of. Web the ileocecal valve controls the flow of digested food when it is time for it to leave the small intestine, and go. What Causes The Ileocecal Valve To Close.
From seekingguthealth.com
Ileocecal Valve Syndrome in SIBO » SeekingGutHealth What Causes The Ileocecal Valve To Close Web the ileocecal valve (ileal papilla, ileocaecal valve, tulp's valve, tulpius valve, bauhin's valve, ileocecal eminence, valve of. Web the ileocecal valve (icv) is a small sphincter muscle that connects the small intestine to the large intestine. Web first, you can hold the valve shut for several minutes. Basic dysfunction of the ileocecal valve can cause backflow of cecal contents. What Causes The Ileocecal Valve To Close.
From www.researchgate.net
Mechanical intestinal obstruction with competent ileocaecal valve in What Causes The Ileocecal Valve To Close Basic dysfunction of the ileocecal valve can cause backflow of cecal contents into the ileum. Web the ileocecal valve (ileal papilla, ileocaecal valve, tulp's valve, tulpius valve, bauhin's valve, ileocecal eminence, valve of. Web first, you can hold the valve shut for several minutes. Web signs and symptoms of ileocecal valve disorder are pain in the. Web the main function. What Causes The Ileocecal Valve To Close.
From oneclass.com
Physiology 3120 Lecture Notes Winter 2017, Lecture 4 Ileocecal What Causes The Ileocecal Valve To Close Lower right part of the belly, feeling full after eating small. Web the ileocecal valve (ileal papilla, ileocaecal valve, tulp's valve, tulpius valve, bauhin's valve, ileocecal eminence, valve of. Basic dysfunction of the ileocecal valve can cause backflow of cecal contents into the ileum. Web signs and symptoms of ileocecal valve disorder are pain in the. This is done by. What Causes The Ileocecal Valve To Close.
From www.lookfordiagnosis.com
Ileocecal valve What Causes The Ileocecal Valve To Close Web the ileocecal valve controls the flow of digested food when it is time for it to leave the small intestine, and go into the large intestine to start to become faeces. Web the main function of the icv is to open and close periodically in order to let food move through the digestive tract. This is done by placing. What Causes The Ileocecal Valve To Close.
From link.springer.com
The Ileocecal Valve SpringerLink What Causes The Ileocecal Valve To Close Web the ileocecal valve controls the flow of digested food when it is time for it to leave the small intestine, and go into the large intestine to start to become faeces. Lower right part of the belly, feeling full after eating small. Web the ileocecal valve (ileal papilla, ileocaecal valve, tulp's valve, tulpius valve, bauhin's valve, ileocecal eminence, valve. What Causes The Ileocecal Valve To Close.
From www.brainkart.com
Function of the Ileocecal Valve What Causes The Ileocecal Valve To Close Web signs and symptoms of ileocecal valve disorder are pain in the. Web the ileocecal valve (ileal papilla, ileocaecal valve, tulp's valve, tulpius valve, bauhin's valve, ileocecal eminence, valve of. Web first, you can hold the valve shut for several minutes. Web the main function of the icv is to open and close periodically in order to let food move. What Causes The Ileocecal Valve To Close.
From www.dreamstime.com
Ileocecal Angle. Ileocecal Valve. Bauginiev S Damper. the Ileum, the What Causes The Ileocecal Valve To Close Web the ileocecal valve (icv) is a small sphincter muscle that connects the small intestine to the large intestine. Basic dysfunction of the ileocecal valve can cause backflow of cecal contents into the ileum. Lower right part of the belly, feeling full after eating small. This is done by placing your hand over the valve and while pushing in, pull. What Causes The Ileocecal Valve To Close.
From pubs.rsna.org
Spectrum of Normal and Abnormal CT Appearances of the Ileocecal Valve What Causes The Ileocecal Valve To Close Web the main function of the icv is to open and close periodically in order to let food move through the digestive tract. Basic dysfunction of the ileocecal valve can cause backflow of cecal contents into the ileum. Web first, you can hold the valve shut for several minutes. Web signs and symptoms of ileocecal valve disorder are pain in. What Causes The Ileocecal Valve To Close.
From www.pinterest.com
Your Ileocecal Valve Could it be the cause of your symptoms What Causes The Ileocecal Valve To Close Web the main function of the icv is to open and close periodically in order to let food move through the digestive tract. Web the ileocecal valve controls the flow of digested food when it is time for it to leave the small intestine, and go into the large intestine to start to become faeces. This is done by placing. What Causes The Ileocecal Valve To Close.
From ar.inspiredpencil.com
Ileocecal Sphincter Digestive System What Causes The Ileocecal Valve To Close Web first, you can hold the valve shut for several minutes. This is done by placing your hand over the valve and while pushing in, pull up toward. Web the main function of the icv is to open and close periodically in order to let food move through the digestive tract. Web the ileocecal valve (ileal papilla, ileocaecal valve, tulp's. What Causes The Ileocecal Valve To Close.
From www.stellarhw.com
3 Things To Know About Ileocecal Valve Syndrome Stellar Health and What Causes The Ileocecal Valve To Close Web the ileocecal valve (icv) is a small sphincter muscle that connects the small intestine to the large intestine. Web the main function of the icv is to open and close periodically in order to let food move through the digestive tract. This is done by placing your hand over the valve and while pushing in, pull up toward. Web. What Causes The Ileocecal Valve To Close.
From www.researchgate.net
Ileocolic artery. 1. Ileocolic artery. 2. Anterior cecal artery. 3 What Causes The Ileocecal Valve To Close Basic dysfunction of the ileocecal valve can cause backflow of cecal contents into the ileum. Web signs and symptoms of ileocecal valve disorder are pain in the. This is done by placing your hand over the valve and while pushing in, pull up toward. Web the ileocecal valve (ileal papilla, ileocaecal valve, tulp's valve, tulpius valve, bauhin's valve, ileocecal eminence,. What Causes The Ileocecal Valve To Close.
From www.researchgate.net
(a) Medially placed ileocecal valve (arrow). (b) Dilated, twisted cecum What Causes The Ileocecal Valve To Close Web the main function of the icv is to open and close periodically in order to let food move through the digestive tract. Web the ileocecal valve (ileal papilla, ileocaecal valve, tulp's valve, tulpius valve, bauhin's valve, ileocecal eminence, valve of. Basic dysfunction of the ileocecal valve can cause backflow of cecal contents into the ileum. Lower right part of. What Causes The Ileocecal Valve To Close.
From www.youtube.com
Ileocecal Valve Dysfunction And SIBO YouTube What Causes The Ileocecal Valve To Close Web the ileocecal valve controls the flow of digested food when it is time for it to leave the small intestine, and go into the large intestine to start to become faeces. Web first, you can hold the valve shut for several minutes. Web the ileocecal valve (ileal papilla, ileocaecal valve, tulp's valve, tulpius valve, bauhin's valve, ileocecal eminence, valve. What Causes The Ileocecal Valve To Close.
From fity.club
Ileocecal Valve Location What Causes The Ileocecal Valve To Close Web the ileocecal valve (ileal papilla, ileocaecal valve, tulp's valve, tulpius valve, bauhin's valve, ileocecal eminence, valve of. Lower right part of the belly, feeling full after eating small. This is done by placing your hand over the valve and while pushing in, pull up toward. Web the ileocecal valve controls the flow of digested food when it is time. What Causes The Ileocecal Valve To Close.
From www.gastrojournal.org
A Rare Cause of Ileocecal Valve Ulceration Gastroenterology What Causes The Ileocecal Valve To Close Web the ileocecal valve controls the flow of digested food when it is time for it to leave the small intestine, and go into the large intestine to start to become faeces. Web the main function of the icv is to open and close periodically in order to let food move through the digestive tract. Web signs and symptoms of. What Causes The Ileocecal Valve To Close.
From wayeducacao.com.br
Ileocecal Valve What Causes The Ileocecal Valve To Close Web the ileocecal valve (ileal papilla, ileocaecal valve, tulp's valve, tulpius valve, bauhin's valve, ileocecal eminence, valve of. Web first, you can hold the valve shut for several minutes. Web the ileocecal valve controls the flow of digested food when it is time for it to leave the small intestine, and go into the large intestine to start to become. What Causes The Ileocecal Valve To Close.